Aquí os contaremos la evolución de los dos gatitos malheridos que recogimos el martes pasado:
13-03-2013
Ayer nos avisó una chica que había cogido dos gatos heridos abandonados en un portal metidos en un carrito de la compra. Ella temía sobre todo por la vida de uno de ellos, que tenía sangre en la boca, la pata mal y temblaba mucho. Ninguno de los dos comía. Era obvio que necesitaban atención veterinaria. Ella es estudiante y nos dijo que no podía hacerse cargo de llevarlos al vete. Le dijimos que los acercara a nuestros veterinarios para que valoraran lo que les pasaba.
Son dos hembras y esto es lo que tienen… Una de ellas, a la que hemos llamado Aisha, tiene roto el paladar y fractura en las dos patas de atrás y los deditos de una pata delantera. Creen que tiene menos de un año. La otra gatica, Telma, tiene posible rotura de paladar y fractura de una pata delantera. Tendrá unos dos añitos. Aunque ahora tenemos todas las casas a tope y las operaciones serán caras hemos decidido acogerlas, tirar para delante y hacer todo lo posible para que se pongan bien. Como siempre agradecemos de corazón todo vuestro apoyo en estos casos difíciles. Y si alguien cree que puede atenderlas durante el postoperatorio que nos mande por favor un email a zaragatos@gmail.com.
Estas son las gatitas… Son preciosas, cariñosas, ronroneadores y muy jóvenes, posiblemente madre e hija. ¿Cómo han podido acabar con estas heridas y metidas en un carrito de la compra? Menos mal que a partir de ahora estarán bien cuidadas. Ya os iremos contando cómo evolucionan.
17-03-2013
El miércoles pasado operaron a Aisha de las fracturas de las dos patitas de atrás y del paladar. La operación fue larga porque tenía los huesos partidos en varios trozos, pero salió bien y ahora se está recuperando en una casa de acogida. La vete nos dijo cuando terminaron la operación que estaba “rota”. Pobrecica… Lo que más preocupa ahora a los veterinarios es su anemia. Ya tenía cuando vino, pero se ha agravado bastante. Falta todavía operar las fracturas de la pata delantera, cuando recupere algo la anemia. También tiene rota la mandíbula. No ha habido que sondarla porque, aunque a poquitos, come si le das la latita de recovery con la mano. Es un amor. Buena, buena, buena. 2 kilitos de motorcito ronroneador.
Telmo (Telma resultó ser macho…) tenía fracturada la pata delantera. Haciendo una exploración torácica le diagnosticaron una hernia periocardiofrénica. Posiblemente es congénita. La hernia se corrige con cirugía, y es conveniente operar ya que si no, no pueden hacer vida normal (se cansan mucho en cuanto hacen un mínimo esfuerzo). Este viernes le operaron la hernia y la patita rota. La operación fue bien. Las siguientes 24-48 h son muy críticas. De momento parece que lo está superando bien. Crucemos los dedos para que salga todo bien. Para la operación tuvieron que raparle todo el cuerpo, por eso lo veis todo peladito en las fotos. Se les ve tan vulnerables… Es también muy bueno y más jovencito de lo que pensaron en un primer momento. Seguramente no llegará al año. Se encuentra junto a Aisha recuperándose en una casa de acogida.
Las dos operaciones son caras. Una de ellas 600 € y la otra unos 450 €. Y todavía será más porque a Aisha todavía tienen que operarla de la otra patita… Si quieres ayudarnos con los gastos económicos, nuestro número de cuenta es …. Hemos superado anteriormente otros baches, y seguro que salimos de este apuro también. ¡Muchas gracias por vuestro apoyo!
24-03-2013
Queremos agradecer a todos los que nos han ayudado a pagar los gastos veterinarios de Aisha y Telmo. Gracias a los donativos de Peter, Fabiola, Sonia, Ana, María Blanca, Celia, Ángeles, Federico, Maria Ángeles, Lorena, Gisela, Carmen y Sole, que han hecho posible que superemos este bache… También a todos los que nos han ayudado en llevarlos al veterinario y en su cuidado: Ángela, Alfonso, Estrella, Dani, Rosa, Marta… Y por supuesto a su acogedora, a los veterinarios y a todos los socios, padrinos, casas de acogida y adoptantes, ya que sin vosotros no podríamos ayudar a los zaragaticos. GRACIAAAAAAAAAAAAAAAAS
El jueves pasado Aisha tuvo su segunda operación. Le operaron la patita delantera, le pusieron una placa y creen que quedará bien. También le tuvieron que recolocar una de las patas traseras que operaron la semana pasada. De momento tiene que estar en un transportín grande para evitar que se mueva reptando. Eso es lo que más nos preocupa ahora mismo, que no haya que operar más y que no se le mueva nada, ya que la anemia la va superando. Nos dicen los veterinarios que tiene los huesos muy frágiles, puede que sea de la mala alimentación pero no saben con certeza la razón. De momento tomará vitaminas y calcio. Las buenas noticias son que ella está tranquila y además ya come el recovery ella solita, no parece que tenga dolores con la medicación, así que lo único que quiere son caricias a todas horas… Es buenísima. Crucemos los dedos para que no haya que volver a operarala y se vaya recuperando bien.
Telmo se va recuperando de maravilla. Le tienen que hacer todavía pruebas para ver cómo está. Él de momento, ya va moviéndose por la habitación como veis en el vídeo y va comiendo mejor el pienso. La operación de la hernia parece que la superó muy bien. No lo dijimos antes, pero le falta la puntita de la lengua, se la rompió en la caída, por eso tenía sangre en la boca. Telmo ya se sube al sofá a tomar el solito y a dormir, y sale a la galería a cotillear un rato. Tiene los ojos preciosos, preciosos. Parecen de ámbar. Es muy cariñoso y mientras le hacía las fotos sólo quería que le hiciera mimines. Un amor de gato…
Un vídeo de Telmo caminando, con lo jovencito que es y parece un abuelillo… pero seguro que mejora pronto!
10-04-2013
Os contamos los progresos de estos preciosos gatitos, Telmo y Aisha. Telmo tiene la pata operada muy bien, falta darle tiempo para que osifique y se cure completamente. Debido a la hernia nos preocupaba que tuviera alguna cardiopatía, pero el otro día le hicieron un ecocardiograma y ha salido bien!. Como veis en el vídeo anda ya muy bien, corre, juega e incluso salta a la mesa ya…
Aisha ya puede andar desde hace un par de días. Como tenía tres patas con roturas, ella va más despacio. De momento es un poco cuadro cuanda anda, porque entre los pelos pelados a medias y las patitas de atrás que no las puede flexionar bien parece un pavo real en vez de un gato J… habrá que esperar para ver como evoluciona… poco a poco. Es posible que la flexión de las patas de atrás quede menor de lo normal. La anemia ya la ha superado, al menos los resultados de ayer han salido bien!. Es muy cariñosa y en cuanto le acaricias te da besitos.
Son un par de soles los dos. La semana que viene, otra vez revisión…
17-04-2013
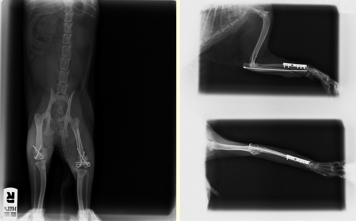
Telmo y Aisha van recuperándose. Ayer a Telmo le quitaron la medicación. Aisha todavía tiene que tomar, ya que las patitas de atrás todavía tienen que dolerle. Este es el informe veterinario y algunas radiografías:
Telmo llegó a la consulta tras haber sido encontrado en la calle. Es un gato, macho, persa de unos 7 meses de edad. Presenta varios traumatismos por una posible caída. Llega consciente y un poco decaído, presenta ligera taquicardia y taquipnea.
En la primera valoración inicial no se detecta ninguna hemorragia externa ni interna ni ninguna otra lesión con riesgo vital. Se detecta una fractura metafisaria distal de cúbito y radio en la extremidad derecha, una fractura de un metacarpiano de esa misma extremidad, además de una posible hernia diafragmática.
En el chequeo preoperatorio se confirma una hernia peritoneo pericardio diafragmática con un lóbulo hepático dentro del pericardio. El resto parece estar normal.
Se procede a la intervención y resolución de la hernia PPD y a la fijación de la fractura de cúbito y radio y del metacarpiano. También se esteriliza ya que presenta una criptorquidia inguinal.
El gato se recupera con normalidad en espera de realizar una ecocardiografía para valorar la funcionalidad y estructura del corazón.
Aisha llega a la consulta tras ser encontrada en la calle. Es una gata persa, hembra de 7 meses de edad. Presenta varias lesiones por un posible traumatismo por una caída. Está alerta, exploración cardiorrespiratoria normal, pulso normal pero no puede incorporarse ni caminar.
En la exploración inicial no se detecta ninguna lesión de riesgo vital y se detectan varias fracturas. Presenta fractura supracondilar transversal con fractura del cóndilo en ambos fémures. También presenta una fractura diafisaria transversal del radio y cubito izquierdo además de una rotura del paladar.
En una primera intervención se procede a la resolución de las dos fracturas de fémur y del paladar. La gata se recupera con normalidad de la intervención pero desarrolla una anemia hemolítica. Con el tratamiento se recupera con normalidad pudiéndose realizar una segunda intervención para solucionar la fractura de cúbito y radio con una placa de osteosíntesis. En esta intervención se detecta que una de las fijaciones de la rodilla se ha desplazado por una fisura del fémur, la cual se repara en la misma intervención. Con reposo la gata se está recuperando con normalidad en espera de realizar las radiografías de control tras la intervención.
Telmo y Aisha hace unos días. Guapísimos!
27-04-2013
Telmo y Aisha se están recuperando muy bien. Ya no toman medicación y pueden irse a su hogar definitivo. Ya hemos pagado las facturas de las operaciones. ¡Muchísimas gracias a todos por vuestra ayuda!







